Implantes dentales en Sevilla
Sustituye las piezas perdidas con implantes dentales y recupera tu sonrisa
Vuelve a sonreír y a comer lo que más te guste.
¿Te faltan una o varias piezas dentales? En nuestra clínica dental en Sevilla realizamos tratamientos de implantes dentales para devolver la funcionalidad y la estética de la sonrisa con implantes dentales de última generación, a través de un proceso seguro, cómodo e indoloro.
Sustituye las piezas perdidas con implantes dentales que te permiten volver a comer los alimentos que más te gustan y te devuelven la belleza de tu sonrisa con resultados naturales y duraderos.
Especialistas en implantes dentales en sevilla
Si las visitas al dentista te asustan o te generan inquietud, en nuestra clínica encontrarás un espacio donde sentirte acompañado, empatizamos contigo y con tu tratamiento. Además, contamos con la última tecnología en odontología para acortar los tratamientos y reducir las molestias, ya sea en un tratamiento de implantes dentales o en cualquier otra intervención.
Implantología dental en Sevilla
¿Necesitas un tratamiento de implantes dentales en Sevilla? Solicita tu cita en Sevilla Dental y pon tu salud bucodental en manos expertas en implantología.
Además de las cuestiones estéticas que producen los huecos, la falta de una pieza o varias piezas dentales puede provocar un desgaste del resto de piezas por sobrecarga, afectando a la salud de la boca.
Al masticar, repartimos la fuerza por las piezas que quedan, que tienen que hacer un esfuerzo extra, acelerando el desgaste de las piezas sanas. En Sevilla Dental realizamos un examen previo para diagnosticar tu caso de forma precisa y personalizada, estudiamos el origen de la pérdida de piezas para trazar el mejor plan de recuperación de tu sonrisa.
Tratamientos de implantes dentales en Sevilla
Restauramos tu sonrisa para que vuelvas a reír con confianza
El implante dental en un diente
La pérdida de dientes puede estar ocasionada por una caries avanzada, una enfermedad periodontal o una fractura grave donde la raíz se haya visto afectada. Dependiendo de tu caso concreto, abordaremos el problema de una forma u otra.
Implantes dentales en varios dientes
Implantes dentales para toda la boca
En la arcada superior, se colocan entre 6 y 8 implantes, que sirven de raíz para colocar todas las piezas que faltan.
En el caso del maxilar inferior, se necesitarán menos implantes aún, siendo entre 4 y 6 los necesarios para restaurar toda la arcada.
¿Qué problemas puedes solucionar con nuestros tratamientos de implantes dentales?
Pérdida de dientes por caries dental avanzada
Cuando hay una caries dental avanzada que llega a los tejidos interiores del diente, puede provocar la pérdida de la pieza.
En esos casos, si el odontólogo recomienda la extracción para salvar el hueso, el implante dental es una solución recomendada para sustituir la pieza dañada.
Pérdida de dientes por enfermedades periodontales
Las enfermedades periodontales son las principales responsables de la pérdida de piezas dentales y del desgaste del hueso maxilar.
Se trata de una enfermedad crónica provocada por una gingivitis avanzada y por acumulación excesiva de sarro, que acaba por acceder al hueso y lo debilita, provocando la movilidad de las piezas y afectando a la sujeción de estas, que acaban soltándose hasta su caída completa. En los casos de pérdida de dientes por enfermedad periodontal, recomendamos la colocación de implantes dentales para sustituir las piezas, restaurando la función masticatoria y la estética de la sonrisa.
Recupera la confianza que da una dentadura completa
¿Qué son y para qué sirven los implantes dentales?
Toda la información sobre todo lo que debes saber sobre los implantes dentales. Se colocan mediante una intervención quirúrgica con anestesia local (en ocasiones, complementada con sedación), totalmente indolora. El postoperatorio de la intervención es muy bueno en la mayoría de los casos y apenas se perciben molestias, en cuyo caso, daremos unas pautas y continuación del tratamiento analgésico, si fuera necesario. Gracias a las modernas técnicas mínimamente invasivas, es muy infrecuente la aparición de complicaciones, dolor, inflamación o hematomas que dificulten el proceso de recuperación.
Financiación para hacer posible tu tratamiento
Nuestros pacientes opinan
Nunca ha sido más fácil ponerse un implante dental.
Muy agradecida con el trato recibido en la clínica. Mi Dra, Rocío Escalante muy buena y sabe tranquilizar al paciente. Ir al dentista siempre suele dar miedo y con el trato recibido desde el primer momento se va pasando.. -Gracias por todo!
Trato exquisito. Muy profesionales y sensibles.
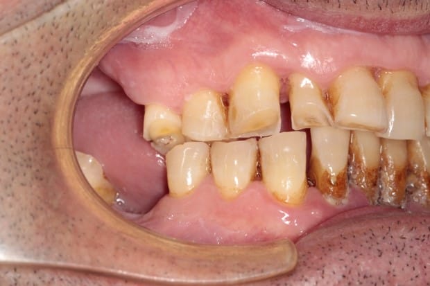
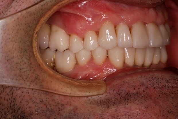
Casos reales
CASO 1
- Ortodoncia
- Rehabilitación oral
- Carillas de porcelana
- Implantes dentales
Preguntas frecuentes
¿Qué es un implante dental?
Los implantes dentales son raíces artificiales de titanio que se insertan en el hueso maxilar y sirven de sujeción para las nuevas piezas. Los dientes implantados tienen un aspecto natural y se diseñan a medida para que tengan el mismo color y forma de tus piezas naturales. Se trata de una solución segura, cómoda y duradera y el tratamiento que recomendamos cuando faltan una o varias piezas dentales, siempre que la salud oral del paciente lo permitan.
¿Existe la posibilidad de no poder ponerme implantes dentales?
Sí, en determinados casos no es posible colocar implantes dentales. Para que el tratamiento pueda realizarse con éxito, lo primero que examinamos es el estado de la masa ósea del hueso maxilar, de las encías y de la mordida. Si todo está en condiciones óptimas, procederemos a colocar el implante.
¿En qué casos no es posible poner implantes dentales?
- Cuando no hay masa ósea suficiente, normalmente provocada por enfermedades periodontales avanzadas.
- Cuando hay infección en las encías. En este caso, habría que realizar tratamientos para curarlas antes de colocar los implantes, pero si no sanaran, sería un tratamiento que habría que descartar.
En cualquier caso, el primer paso sería realizar un diagnóstico exhaustivo para determinar qué tratamiento es el más idóneo.
¿Hay alternativas al implante dental?
Sí, hay alternativas a los implantes dentales, aunque en Sevilla Dental consideramos que los implantes dentales son la solución más efectiva a la pérdida de dientes naturales.
Entre las alternativas al implante dental se encuentran:
- Prótesis fija como puente dental: Se coloca sobre los dientes naturales y se diseñan a medida del paciente. Aunque se restaura la función masticatoria y es una solución más económica, su colocación requiere el tallado de los dientes adyacentes, por lo que daña las piezas sanas.
- Prótesis removible de quita y pon: También conocidas como dentadura postiza, son un tratamiento alternativo a los implantes dentales. Se trata de la solución más económica, pero también la que genera más molestias para el paciente. Aunque han mejorado mucho, siguen generando incomodidades como llagas y rozaduras, movimientos al hablar y comer y resultados estéticos poco naturales. Las prótesis removibles recuperan parte de la función masticatoria, pero sigue siendo complicado masticar ciertos alimentos.
Como ves, existen alternativas al implante dental, pero nuestra recomendación siempre será realizar este tratamiento por ser el más duradero, estético y el que más prestaciones ofrece al paciente, tanto en términos estéticos como funcionales.
¿Qué precio tiene un implante dental en Sevilla?
No existe un precio cerrado para los implantes dentales en Sevilla. Este dependerá del estado de la salud bucodental del paciente y de la calidad del material con el que se haya hecho la nueva pieza dental. El precio del implante dental unitario podría oscilar entre los 1.100 y 1.500 euros. En este coste estarían incluidos los siguientes conpcetos: cirugía, tornillo y corona.
Cuéntanos qué necesitas
Rellena el siguiente formulario, cuéntanos cómo podemos ayudarte y nos podremos en contacto contigo.
Si lo prefieres también puedes contactar con nosotros por teléfono.
DÓNDE ESTAMOS
Clínica Dental en el Centro de Sevilla: C/ Calle Reyes Católicos, 15, bajo, 41001 Sevilla
Clínica Dental en los Bermejales: C/ Avenida Del Reino Unido, Local (Esquina C/ Colonia), 41012 Sevilla

También te puede interesar sobre Implantes dentales
Dolor de implante dental
¿Te preocupa el dolor de implante dental? Es normal, la mayoría de las personas que se van a someter o ya han pasado por este procedimiento tienen muchas dudas al respecto. Pero no te preocupes, en este artículo verás todo lo que necesitas saber sobre el dolor de...
Implante dental que se mueve
¿Tienes un implante dental que se mueve? ¿Te preocupa que pueda caerse o cualquier otro aspecto? No te preocupes, en este post encontrarás la información que necesitas para resolver tus dudas, qué hacer cuando se mueve el implante dental y posibles soluciones para tu...
Implantes dentales sin dolor: un tratamiento sin molestias
¿Es posible el tratamiento de implantes dentales sin dolor? Conocer que necesitas una cirugía dental puede generar cierta ansiedad, especialmente si te preocupan las posibles molestias asociadas. Sin embargo, los avances en odontología han hecho posible que hoy...
Autor: Dr. Faustino Vieco Rodríguez (Especialista en Ortodoncia-Implantología, área de Implantología de Sevilla Dental ) · Revisión clínica: Dra. Isabel Rodríguez Gutiérrez (Directora Médico de Sevilla Dental) · Última actualización: 19/01/2026 · Política editorial: sevilladental.net/politica-editorial

